Dentistry Services From Our Family to Yours

dr dakota and dr lauren

Gentle Care

Family Friendly

Amazing Results

Why Choose Us

At Davis Family Dental Care, you’ll be welcomed by our friendly and experienced team. We’re dedicated to your health, transformation, and happiness and offer comprehensive oral health care in a caring environment to all families.

Front entrance to office
dentist with pediatric patient

family dentistry

Visiting one dentist for all your family’s oral health care needs has many advantages. Keep all your dental records in one place and build a relationship with the dental team that will be caring for your whole family.

Learn More about family dentistry
doctor and team member with patient in chair

cosmetic dentistry

We offer a full range of cosmetic treatments that can remove imperfections and totally transform your smile. From teeth whitening to the innovative Bioclear technique to veneers, we’ll keep you smiling!

Learn More about COSMETIC dentistry

What we offer.

From preventive dental services to restorative and cosmetic dentistry, Davis Family Dental Care offers a comprehensive range of services and personalized care. We take care of each and every member of your family, from toddlers to seniors.

OUR MISSION

At Davis Family Dental Care, quality care and patient comfort are our top priorities. We aim to provide you with the best possible experience in a comfortable, relaxing environment. We want you and your family to have a lifetime of healthy smiles. Our purpose is to pursue health, transformation, and happiness for our patients, our team, and ourselves. That purpose permeates our approach.

empty

Preventive Care

Preventive Care

The best way to ensure you and your family have healthy smiles for life is to keep up with preventive cleanings and evaluations.

empty

Implants

Implants

Dental implants are an excellent permanent-replacement solution for missing teeth.

empty

Crowns

Crowns

You might need a crown if your tooth is severely fractured, worn, or decayed.

empty

Bioclear Technique

Bioclear Technique

Bioclear is an innovative cosmetic treatment that can dramatically improve your smile.

empty

KöR Teeth Whitening

KöR Teeth Whitening

KöR Whitening is a revolutionary system that can turn back the clock and remove years of discoloration.

empty

Sleep Apnea Treatment

Sleep Apnea Treatment

If you have sleep apnea, disrupted sleep, or a snoring problem, ask us about our sleep apnea dental devices.

We love to hear from our patients!

Regina Swann
a month ago
This is an awesome family practice. Davis Family Dental Care’s Dr. Dakota Cooper and her entire staff, clinicians and administrative support, are excellent. They...
Lori Kelsch
2 months ago
I’ve been going to Davis Dental for years, and I can honestly say they’ve taken the very best care of me every single visit. From...
Sheetal Kelkar
a month ago
We love Davis Family Dentist! Their entire staff is extremely friendly and knowledgeable. My kids and husband are also their patients. I fully trust them....

Meet the Dentists

dr dakota

Dakota Cooper, DDS

Dr. Dakota Cooper feels enormously proud to offer her professional dental services to her hometown community. She is eager to build on the legacy of compassionate care that her father (Dr. Paul) began over 35 years ago.

dr lauren

Lauren Drennan, DDS

Dr. Lauren Drennan’s professional path began when she was just a young girl who liked to go to work with her dad (Dr. Paul). As a dentist, she loves spending time tailoring every treatment plan to the individual patient.

Dr. Davis

Paul Davis, DDS (Retired)

Dr. Paul Davis has been a dentist for nearly 40 years and is still devoted to his chosen profession of dentistry to this day. He works alongside his two daughters (Dr. Dakota and Dr. Lauren) who have followed his footsteps into the dental profession.

Ready for happy, healthy smiles for your entire family?

Book Appointment

Call us at 817-354-9999 or book an appointment using our online form.

book appointment

New Patient Forms

If you are a new patient, please complete these forms before your first visit.

download forms

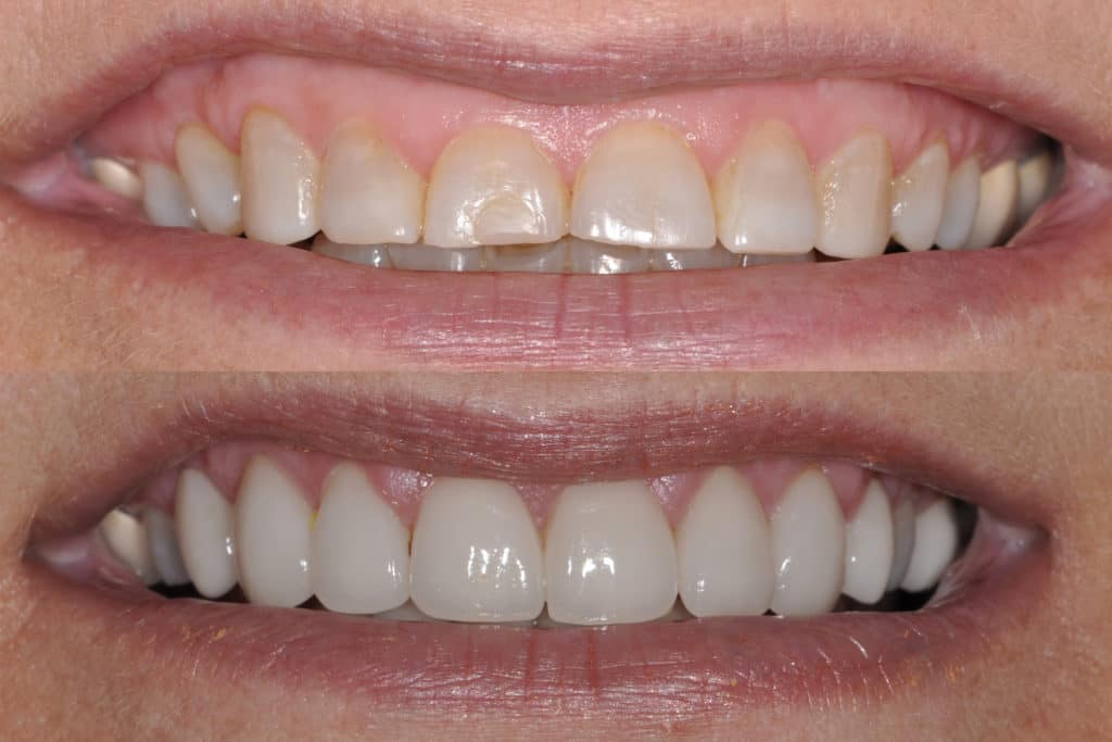
Love your smile

Check out these beautiful smile transformations.

VIEW GALLERY

Success stories.

Before and After Kate

Porcelain Crowns

This patient was born with enamel deformities (enamel hypoplasia) that had been treated multiple times with bonding. We treated it with full porcelain crowns.

Before and After

gum contouring

This patient was very self-conscious about smiling. All it took was a little laser gum contouring to remove the “gumminess,” and porcelain veneers took care of the rest.

Book an appointment. Ask a question.

Request Appointment

"*" indicates required fields

This field is for validation purposes and should be left unchanged.

Latest news and updates.

Straightening Your Smile Made Simple: Why Invisalign Is Perfect for Adults!

The Clear Path to Confidence Thinking about straightening your teeth as an adult? You’re not alone! Many adults want to achieve a confident, beautiful smile but hesitate when it comes to traditional braces. The idea of metal brackets and wires can feel like a big commitment—especially when you have a busy work schedule, social life,…

The Silent Destroyer: Bruxism’s Not-So-Healthy Impact on Your Oral Health

Is bruxism wrecking your smile? Do you ever wake up with a sore jaw or a dull headache? Have you noticed your teeth looking a little more worn down than they used to? You might be dealing with bruxism—the unconscious habit of tooth grinding and clenching. It often happens while you sleep, making it a…

KöR Whitening: The Science of a Brighter, Whiter Smile

Ever feel like your morning coffee, favorite red wine, or just years of daily life have left your teeth looking a little less bright than you’d like? You’re not alone. Stains creep in over time, and most of the time, drugstore whitening strips just don’t cut it. But what if there was a way to…

Dental Implants vs. Bridges: Which Tooth Replacement Option is Right for Your Smile?

Smile Restorations Made Simple Losing a tooth can be overwhelming, but modern dentistry offers fantastic solutions to restore your smile and confidence. Whether you’re missing a single tooth or several, replacing them is crucial for maintaining oral health, preventing bone loss, and ensuring proper function. Two of the most popular tooth replacement options are dental…

What Does Periodontal Therapy Involve? Your Guide to a Healthy Smile

Many of us have been there—we go to flash that selfie-ready smile, only to find out it isn’t really selfie-ready. And why is that? As you pull your smartphone camera closer to your mouth, you see that your gums are bright red. They look puffy. And come to think of it, you’ve noticed blood in…

Tooth Sensitivity Demystified: Causes and Solutions for Everyday Comfort

Have you ever been enjoying a bowl of ice cream only to suddenly experience—zing!—an excruciatingly painful sensation in your teeth? Perhaps you have noticed that your gums have receded, and your teeth just don’t feel as comfortable as they used to. You could have tooth sensitivity. And we get it—sensitive teeth and the resulting tooth…